


An EduQual endorsed Diploma combining workshops, mentoring and case based learning
Hands-On Dates:
Sept 2-5, 2026
Feb 10-13, 2026
Melbourne, Australia
12 months of online lectures, mentorship, case discussions and study clubs

Increase your confidence in diagnosis and treatment planning

Tackle more difficult endo cases

Increase your case acceptance and keep cases in house










Some of the topics covered
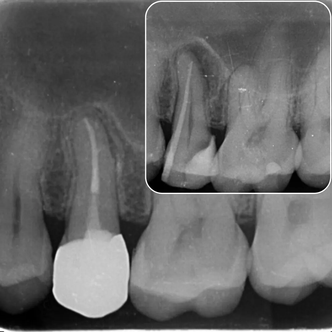
Access & Canal Obturation
Glide path and Instrumentation
Irrigation and Disinfection
Retreatment Techniques
Bioceramics and Sealing
Advanced use of CBCT and magnification (microscope hands-on) for navigation.
Management of curved canals, calcified canals, and difficult access cases
Managing perforations, ledges, or instrument separation
Dental Trauma
Dr Adina
"I found it interesting that we got to use different systems. It’s been very helpful having the help and support of more experienced dentists.”

Dr Irram (Melbourne, Victoria)
“I have 3 years of experience and still think this course is really helpful because of the interesting content.”

Dr Vagisha (Sydney, New South Wales)
“Really amazing people with supportive environment to help you out!!”

Dr Vincent
"GDR gave me the mentorship I sought for, putting me in contact with amazing people who would go onto not only become mentors that I admire and consult with weekly, but also genuine friends and colleagues.

PASSIONATE EDUCATORS
Here to teach and support you, not just to deliver lecture slides
Structured and efficient learning, custom designed by world-class clinicians
ELITE NETWORKING
Make friends for life with those on the same journey towards excellence
HANDS-ON
Maximal time spent practising hands-on because that's the best way to learn
All hands-on modules take place on convenient multi-day blocks
Everyone deserves to afford the best education
Sign up first, and get extra value bonuses!
ALUMNI NETWORK
Exclusive access and rates to future gDR Events
Meet with experienced Endodontists whose sole job is to see you succeed
Payment plans available via our finance partner Credabl. T&C’S apply.
The Diploma was designed to enhance and continue the learning experience to go beyond the foundations, and excel into advanced endodontic dentistry. The requirements are a Bachelor of Dentistry or equivalent which is registrable for practice with a minimum of 1 year clinical experience and a strong interest in saving teeth and endodontics, as well as willingness to engage in hands-on learning and case presentations.
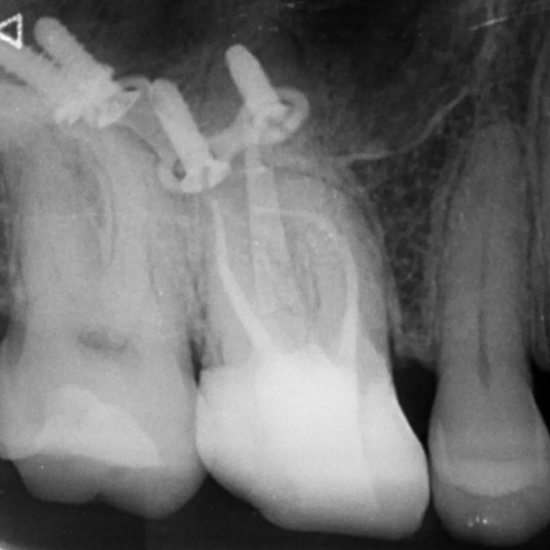
• Single-rooted and multi-rooted cases with normal and complex canal morphology.
• Management of curved canals, calcified canals, and difficult access cases.
• Re-treatment cases of non-healing or failed root canals.
• Managing perforations, ledges, or instrument separation.
• Managing post space failures and disassembly of old crowns/cores.
• Advanced use of CBCT and magnification (microscope) for navigation.
• Combined endodontic–periodontal lesions requiring dual management.
• Vital pulp therapy (partial or full pulpotomies).
• Management of immature teeth with open apices
• Using bioactive materials (MTA, Biodentine)
• Root fractures, luxation injuries, and pulp necrosis after trauma.
• Splinting protocols and trauma management in young patients.
• Managing discoloration and post-trauma aesthetics.
Yes, we have many interstaters who have joined our core program (WA, SA, NT, QLD, ACT, NSW, TAS). Our program is designed so that the in person workshops (2 x 4 day blocks, e.g. once every 6 months) maximises hands-on activities, while online academics and mentoring can be done remotely from your home base. Our hands-on is currently based in Melbourne, Victoria.
No, the Diploma is designed for dentists and we know how hard it can be to take days off! Our workshops are over 2 x 4 day blocks across 12 months, the mentoring is online and after hours, while the online academics can be done at your convenience.
Beside the hands-on workshops and mentoring, on average an additional 2-3 hours per week is recommended to review to prepare cases, literature reviews and online academics.
Our in person hands-on workshops are held in Melbourne (Australia), we work with a number of venues to maximise your experience depending on the workshop. You will have over 3 months notice of the event space once you’ve registered. The mentoring and academics is otherwise online from your home base.
The program costs a few hundred dollars per week! On average our Residents improve their income by 25-35% during the year of the program, and get multiples on their return. Education is always an investment and the Diploma is designed to be of the utmost greatest value. Nevertheless, we believe in ensuring everyone is able to afford amazing education. To register and secure your spot all that is required is a 10% deposit. The remaining 90% can be paid via a 3 month internal payment plan or through a 12 month payment plan via our Finance Partners at Credabl.
We know how important it is for dentists to be able to get support in their daily practice. The mentoring is designed to maximise your learning from hands-on workshops by giving you the opportunity to ask follow up questions and find ways to implement new skills into your own private practice. Our mentors are Specialist Endodontists who have 10-15+ years experience with an extensive skill set in dentistry. You will be added to a private chat with your mentor to be able to help you get any pressing questions answered, and also meet them online regularly over the duration of the program to go through case discussions and present your cases.
The program was designed as package so we can be accountable to your growth and development. On average our Diploma attendees improve their scope of practice in advanced endodontics and income by 25-35% during the year of the program, and get multiples on their return. This way we can provide the greatest impact and value to dentists hence we do not offer individual modules except on an ad hoc basis.
Dr. Mark Johnstone
Specialist Endodontist: BDSc(Hons) DClinDent (Melb) MHlth & MedLaw FPFA, FICD
Dr Mark Johnstone is an Australian trained and registered specialist Endodontist. He graduated from the University of Melbourne with a Bachelor of Dental Science with Honours in 2008, being awarded the Ernest Joske Prize and was on the Deans Honours List in his final year. He completed his Doctor of Clinical Dentistry in 2014 from the University of Melbourne, and was awarded the Ephraim Ehrmann Memorial Prize. He completed a Master of Health and Medical Law at the University of Melbourne in 2019 and is an Adjunct Senior Lecturer at Charles Sturt University. He is a Fellow of the Pierre Fauchard Academy. Mark has worked in specialist practice in both Victoria and New South Wales.
Adjunct Professor Chankhrit Sathorn
Specialist Endodontist: DDS, GradDipClinDent, DClinDent, PhD, MRACDS (Endo)
Dr Chankhrit is Adjunct Professor of Endodontics at La Trobe University. Formerly, he was an Adjunct Associate Professor of Endodontic Research at La Trobe University and Convenor of the Predoctoral Endodontics and Graduate Certificate in Clinical Dentistry Programmes at The University of Melbourne. He completed Endodontic specialist training and a PhD at The University of Melbourne and became a member of the Royal Australasian College of Dental Surgeons in the Special Stream of Endodontics. His basic dental training was from Thailand.
His area of research focuses on evidence-based Endodontics, systematic reviews, effectiveness and efficiency of various interventions. Based on the cumulative publication of his research studies, Chankhrit has been awarded The Ernest Joske Research Award for work that constitutes an important contribution to dental science research.
He has been invited to speak at several national and international Endodontic congresses such as ASE, ADA, IFEA, and ESE. He is a regular facilitator in Endodontic postgraduate seminars at The University of Sydney, an editorial board member of the Journal of Endodontics, International Endodontic Journal, Dental Traumatology, New Zealand Dental Journal, Journal of Dentistry, and European Journal of Dentistry. He maintains a private practice limited to Endodontics in Melbourne and Sydney.
Subscribe to our newsletter and get updates on GDR delivered directly to your email.
©2026 General Dental Residency | Terms of Use | Terms and Conditions | Privacy Policy